primaria
/1º
secundaria
CAPÍTULO 6 / TEMA 7

Equinodermo gigante

Synapta maculata es un pepino de mar que puede medir hasta 5 metros de largo. Es uno de los equinodermos más grandes que se conocen hasta el momento.

Animales
Equinodermos

Los equinodermos son animales invertebrados exclusivamente marinos y bentónicos, es decir, que viven en el fondo marino. Este grupo incluye animales muy distintos morfológicamente como: las estrellas de mar, los erizos de mar, las ofiuras, los dólares de arena y los pepinos de mar.


CARACTERÍSTICAS GENERALES DE LOS EQUINODERMOS

En la actualidad se conocen cerca de 7.000 especies de equinodermos vivientes y unas 13.000 especies son extintas. Los equinodermos son animales particulares debido a que presentan muchas características exclusivas como:

• Un sistema acuífero llamado aparato ambulacral que consiste en una serie de conductos llenos de agua y comunicados entre sí, que sirve como sistema circulatorio. Además, el aparato ambulacral presenta expansiones llamadas pies ambulacrales que se utilizan para la locomoción ya que pueden alargarse y contraerse al llenarse de agua permitiendo el desplazamiento. Los pies ambulacrales también pueden desempeñar otras funciones como participar en la respiración, la alimentación y en la percepción sensorial.
• El agua ingresa al aparato ambulacral por medio de una abertura localizada en el cuerpo de los equinodermos llamada madreporito.
Sin cabeza y sin corazón.
• Presentan un endoesqueleto o esqueleto interno formado por placas calcáreas con espinas que sobresalen en la superficie externa del animal. Esta característica les confiere el nombre de equinodermos, que significa “piel con espinas”. En algunos equinodermos las espinas pueden utilizarse para el desplazamiento.
• Presentan un gran poder de regeneración del cuerpo. Cuando parte del cuerpo se pierde o es desprendido por acción de depredadores, los equinodermos pueden regenerar todo el cuerpo nuevamente en poco tiempo.
• Reproducción asexual por fragmentación.
• Reproducción sexual con sexos separados, es decir, que hay individuos hembras y machos.
Ciclo de vida indirecto con larvas que por metamorfosis originan el adulto de vida libre. No hay equinodermos parásitos.
Sin órganos excretores, la excreción se produce por el aparato ambulacral a través del madreporito o de los pies ambulacrales.
Sistema respiratorio poco desarrollado. El intercambio de gases se produce por branquias dérmicas o pápulas, pies ambulacrales o estructuras especializadas según la especie.
Sistema digestivo completo.
Sistema nervioso simple y poco desarrollado. Se compone de nervios localizados en diferentes partes del cuerpo y no presenta cerebro.
Órganos sensoriales poco desarrollados, la percepción de los sentidos ocurre principalmente en los pies ambulacrales, aunque algunas especies pueden tener órganos táctiles y sensibles a la luz.
Sin órganos copuladores.

Los equinodermos se clasifican en 4 grupos según la forma del cuerpo, el tipo de larva y sus estilos de vida:

1. Asteroideos: que incluye a las estrellas de mar.
2. Ofiuroideos: que contiene a las ofiuras, muchas veces confundidas con estrellas de mar.
3. Equinoideos: contiene a los erizos de mar y los dólares de arena.
4. Holoturoideos: que incluye a los pepinos de mar.


Las estrellas de mar no tienen cerebro, ni sangre, ni corazon. Tienen una gran capacidad regenerariva de todo el cuerpo cuando es fraccionado.

QUIERO SABER SOBRE...

Estudios recientes indican que los equinodermos y los cordados (grupo que incluye a los vertebrados) pueden ser grupos hermanos ya que presentan muchas similitudes en su desarrollo embrionario y se caracterizan por la presencia de un endoesqueleto. En los equinodermos, el endoesqueleto está formado por placas de calcio con espinas que les confieren rigidez, sostén y protección. En cambio, en los cordados el endoesqueleto puede ser óseo o cartilaginoso y está más desarrollado.


¿SABÍAS QUÉ?

A diferencia de otros animales, las branquias de los equinodermos se originan a partir de la piel por lo cual reciben el nombre de pápulas o branquias dérmicas.

Diversidad de los equinodermos
DESCÚBRELOS AL PASAR EL CURSOR POR LAS FIGURAS
Estrella
de mar
Pies
ambulacrales
Erizo de mar
Dólar de mar
Ofiura
Pepino
de mar
Equinodermos primitivos: los lirios de mar

Los lirios de mar o crinoideos son los equinodermos más antiguos y a partir de los cuales se originaron el resto de los grupos de los equinodermos. Son animales sésiles que viven fijos en el fondo del mar. Se caracterizan por tener los brazos ramificados que utilizan para la filtración y para capturar pequeñas presas.


Anatomía de las estrellas de mar

La anatomía interna de las estrellas de mar es usada como modelo general de todos los equinodermos ya que la estructura interna de estos animales es muy similar; aunque externamente sean muy distintos.


Estrellas de mar
DESCÚBRELAS AL PASAR EL CURSOR POR LAS FIGURAS
Superficie
oral
Superficie aboral
Estrellas
de mar con
muchos brazos
Estrella
de mar
alimentándose
Estrella de
mar regenerando
sus brazos
Estrella de
mar fósil

Ofiuras
DESCÚBRELAS AL PASAR EL CURSOR POR LAS FIGURAS
Superficie aboral
Superficie
oral con boca
y bursas
Ofiura fósil
Ofiura

ASTEROIDEOS O ESTRELLAS DE MAR

Las estrellas de mar o asteroideos son equinodermos que pueden vivir en el fondo marino hasta los 6.000 metros de profundidad o algunas especies pueden vivir en zonas intermareales a pocas profundidades. Son animales que se encuentran en todos los océanos del mundo y sus principales características son:

Cuerpo aplanado formando un disco central con 5 o más brazos. Esta estructura corporal estrellada le confiere su nombre.
• Los límites entre el disco y los brazos no son claros en la mayoría de los casos.
• La superficie superior o aboral del cuerpo es rugosa con espinas y en ella se ubican:

- Los pedicelarios que son estructuras pequeñas en forma de pinzas que rodean las espinas y cumplen varias funciones: limpian el cuerpo de las estrellas de mar, protegen las branquias dérmicas y ayudan a capturar el alimento.
- El ano que elimina los desechos producidos por el sistema digestivo.
- El poro genital por donde liberan los espermatozoides o los óvulos al agua para que se produzca la fecundación.
- El madreporito.
- Las pápulas o branquias dérmicas.

• En la superficie inferior u oral del cuerpo se encuentra:

- La boca desde la cual sale el aparato ambulacral hasta el extremo de cada brazo donde se localizan los pies ambulacrales.
- En los pies ambulacrales hay ventosas que permiten la fijación a la superficie por la cual se desplazan y también permiten sujetar las presas.

• La excreción y la respiración ocurre principalmente en las pápulas o branquias dérmicas y en menor medida en los pies ambulacrales.
• Los pies ambulacrales junto al aparato ambulacral desempeñan una importante función en la locomoción y la alimentación.
• Son animales muy activos, carnívoros y grandes depredadores de crustáceos, moluscos, poliquetos y peces.
Ciclo de vida indirecto y complejo que involucra dos estadios larvales:

- Larva bipinaria: del huevo eclosiona una larva microscópica nadadora que no presenta brazos.
- Larva braquiolaria: más tarde la larva bipinaria crece y se convierte en una larva braquiolaria sésil que presenta 3 pequeños brazos. Luego por metamorfosis origina el adulto.

Ciclo de vida de las estrellas de mar

Los equinodermos carecen de órganos copuladores por lo que en la reproducción liberan los óvulos y los espermatozoides al agua, donde se produce la fecundación y el posterior desarrollo de los huevos. Muchas estrellas de mar incuban los huevos en su cuerpo.

Del huevo de las estrellas de mar surgen larvas bipinarias que no presentan brazos ni características similares al adulto. Es una larva de vida libre y nadadora que se alimenta de plancton y vive suspendida en el agua a pocas o grandes profundidades.

La larva bipinaria luego de un tiempo crece y desarrolla 3 brazos, transformándose en la larva braquiolaria. Esta larva se dirige hacia el fondo del mar donde se fija a un sustrato y vive un tiempo hasta sufrir metamorfosis para originar la estrella adulta.


OFIUROIDEOS U OFIURAS

Los ofiuroideos u ofiuras son el grupo con mayor número de especies dentro de los equinodermos. Son animales bentónicos y por su similitud con las estrellas de mar muchas veces se los confunde con éstas. Sin embargo, las ofiuras presentan grandes diferencias con las estrellas de mar. Sus principales características son:

Cuerpo estrellado con un disco central y 5 brazos largos y articulados. Los límites entre el disco y los brazos son claros y fácilmente distinguibles.
• Los brazos articulados consisten en una columna de osículos análogos a las vértebras que se articulan entre sí. Los osículos se unen por músculos fuertes que permiten el desplazamiento moviendo los brazos.
• A diferencia de las estrellas de mar, las ofiuras no utilizan los pies ambulacrales para la locomoción ya que los brazos articulados les permiten moverse.
• Los pies ambulacrales son utilizados para la alimentación.
Sin pápulas.
Sin ano.
Sin pedicelarios.
• En la superficie superior o aboral del cuerpo se encuentra:

- Una especie de armadura que forma pequeños bultos de calcio que actúan como un ojo, ya que forman imágenes.

• En la superficie inferior u oral del cuerpo se encuentra:

- El madreporito a diferencia de las estrellas de mar que se encuentra en la parte aboral.
- La boca que está rodeada de 5 placas móviles que actúan como mandíbulas.
- 5 pares de invaginaciones o surcos llamadas bursas por donde ingresa y sale el agua. Las bursas son órganos especializados en la respiración. Cada par de bursas se localiza al lado de cada brazo.

• Los órganos de los distintos sistemas se localizan en el disco central. Los órganos sexuales están ubicados sobre la pared interior de las bursas por donde se liberan los espermatozoides o los óvulos al agua para que se produzca la fecundación. Algunas especies incuban los huevos en las bursas. De este modo, las bursas están implicadas en la respiración y en la reproducción.
Ciclo de vida indirecto con una sola larva llamada ofioplútea de vida libre y nadadora. Las ofiuras no presentan una larva sésil como las estrellas de mar. La larva ofioplútea sufre metamorfosis para originar al adulto.
• La gran mayoría son animales filtradores de partículas que se encuentran en el agua. Algunas especies son carnívoras.
• La regeneración está muy desarrollada en las ofiuras. Pueden regenerar todos sus brazos a partir del disco.
• Viven en el fondo marino en zonas rocosas.

EQUINOIDEOS: ERIZOS DE MAR Y DÓLARES DE ARENA

Los equinoideos viven en el fondo marino, aproximadamente a 2.500 metros de profundidad. Este grupo contiene a los erizos de mar y dólares de arena que abarcan aproximadamente 1.000 especies actuales. Sus características principales son:

Cuerpo discoidal o globular.
Sin brazos.
• El endoesqueleto forma un caparazón o carcaza con numerosas espinas móviles que sirven para el desplazamiento y la defensa.
• En la superficie superior o aboral del cuerpo se encuentran las mismas estructuras que en las estrellas de mar:

- Los pedicelarios que ayudan a limpiar el cuerpo y producen toxinas o veneno.
- El madreporito.
- Las pápulas o branquias dérmicas implicadas en la respiración.
- El ano.
- El poro genital.

• En la superficie inferior u oral del cuerpo se encuentra:

- La boca rodeada de 5 dientes. En el interior de la boca se encuentra una estructura única de los equinoideos llamada linterna de Aristóteles que sirve como aparato masticador. La linterna de Aristóteles es un órgano protráctil que sale de la boca para raspar las algas y la materia orgánica de las rocas.
- El aparato ambulacral con los pies ambulacrales que presentan ventosas.

• La locomoción es el resultado combinado de los pies ambulacrales y de las espinas móviles.
• Son animales omnívoros.
Sin reproducción asexual.
La capacidad regenerativa es reducida.
Ciclo de vida indirecto con una sola larva llamada equinoplútea de vida libre, que vive poco tiempo antes de sufrir la metamorfosis para originar el adulto.

HOLOTUROIDEOS O PEPINOS DE MAR

Los holoturoideos son animales extraños conocidos con el nombre de pepinos de mar. Sus principales características son:

Cuerpo blando, cilíndrico y alargado con forma de pepino.
Sin brazos.

Diversidad
de los equinoideos
DESCÚBRELOS AL PASAR EL CURSOR POR LAS FIGURAS
Dólar de arena
Boca del erizo de mar
Erizo de mar
Erizo de mar con espinas largas
Erizo de mar sin espinas
Larva equinoplútea

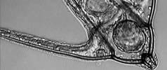
Pearsonothuria graeffei es un pepino de mar que puede llegar a pesar 1.3 kilogramos y tener una longitud de 45 centímetros.


Holoturoideos
DESCÚBRELOS AL PASAR EL CURSOR POR LAS FIGURAS
Boca y tentáculos
Larva auricularia
Pepino
de mar
Pepino de mar comestible

Sin espinas.
Sin pedicelarios.
Endoesqueleto microscópico que le confiere un cuerpo blando.
Sistema muscular desarrollado que les permite desplazarse y excavar pozos en la arena.
Pies ambulacrales ayudan a la locomoción.
• La boca está rodeada de tentáculos que atrapan las partículas de alimento que están en el agua.
• El ano se localiza en el extremo opuesto a la boca.
• El madreporito es interno y no se abre hacia el exterior del cuerpo.
• Presentan una estructura única llamada árbol respiratorio formado por dos tubos ramificados que desembocan en el ano. El árbol respiratorio sirve para la respiración y excreción.
Ciclo de vida indirecto con una sola larva llamada auricularia de vida libre que por metamorfosis origina el adulto.
Son animales poco activos.
Viven en el fondo de mares poco profundos y son abundantes en los arrecifes de coral.
Reproducción asexual por regeneración.
Producen toxinas de defensa. Las toxinas de algunas especies de pepinos de mar se utilizan para producir medicamentos contra el dolor.
• Algunas especies de pepino de mar son comestibles en países asiáticos y principalmente en China.


CARACTERÍSTICAS ESTRELLAS DE MAR OFIURAS EQUINOIDEOS PEPINOS DE MAR
Cuerpo Disco central con 5 o más brazos. Disco central con 5 brazos. Discoidal o globular sin brazos. Blando, cilíndrico y alargado, sin brazos y sin espinas.
Boca De ella surge el aparato ambulacral. Presenta 5 placas móviles que actúan como mandíbulas. Rodeada por 5 dientes. Rodeada por tentáculos.
Ano En superficie aboral. Sin ano. En la superficie aboral. En el extremo opuesto a la boca.
Madreporito En superficie aboral. En superficie oral. En superficie aboral. Interno, no se comunica al exterior.
Respiración Pápulas o branquias dérmicas. Bursas. Pápulas o branquias dérmicas. Árbol respiratorio.
Pedicelarios Sí. No. Sí. No.
Alimentación Carnívoros y grandes depredadores. Filtradores, algunos carnívoros. Omnívoros. Raspan algas y materia orgánica de las rocas. Filtradores.
Larvas Bipinaria de vida libre y braquiolaria sésil. Ofioplútea de vida libre. Sin larva sésil. Equinoplútea de vida libre. Sin larva sésil. Auricularia de vida libre. Sin larva sésil.
Locomoción Pies ambulacrales con ventosas. Brazos articulados. Pies ambulacrales con ventosas y espinas móviles. Musculatura y pies ambulacrales.
Hábitat Fondo marino y zonas intermareales. Son animales muy activos. Fondo marino en zonas rocosas principalmente. Fondo marino, profundidades de hasta 2.500 metros. Fondo de mares de poca profundidad, abundan en los arrecifes de coral. Son animales muy poco activos.
Característica distintiva Ciclo de vida con dos larvas, una de ellas sésil. Brazos articulados y bursas. Linterna de Aristóteles y el endoesqueleto en forma de caparazón. Árbol respiratorio.

Los equinodermos

Artículo que presenta las principales características de los equinodermos y su clasificación.


Los equinodermos: las estrellas de mar

Artículo que desarrolla las principales características de las estrellas de mar y su anatomía interna.